Before

After

Before

After

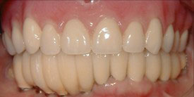
Before: Patient needs Upper and Lower Arch Rehabilitation. After: Great smile, chewing function, and facial tissue support possible with an Upper Denture that is supported with Implants and Lower Implants and Crowns
Note: Patients depicted in photos have provided their consent to display their pictures online. Results may vary.
Crowns (Caps)
Dental Implants
Dentures & Partial Dentures
Porcelain Crowns (Caps)
